القائمة الرئيسية

الصفحات

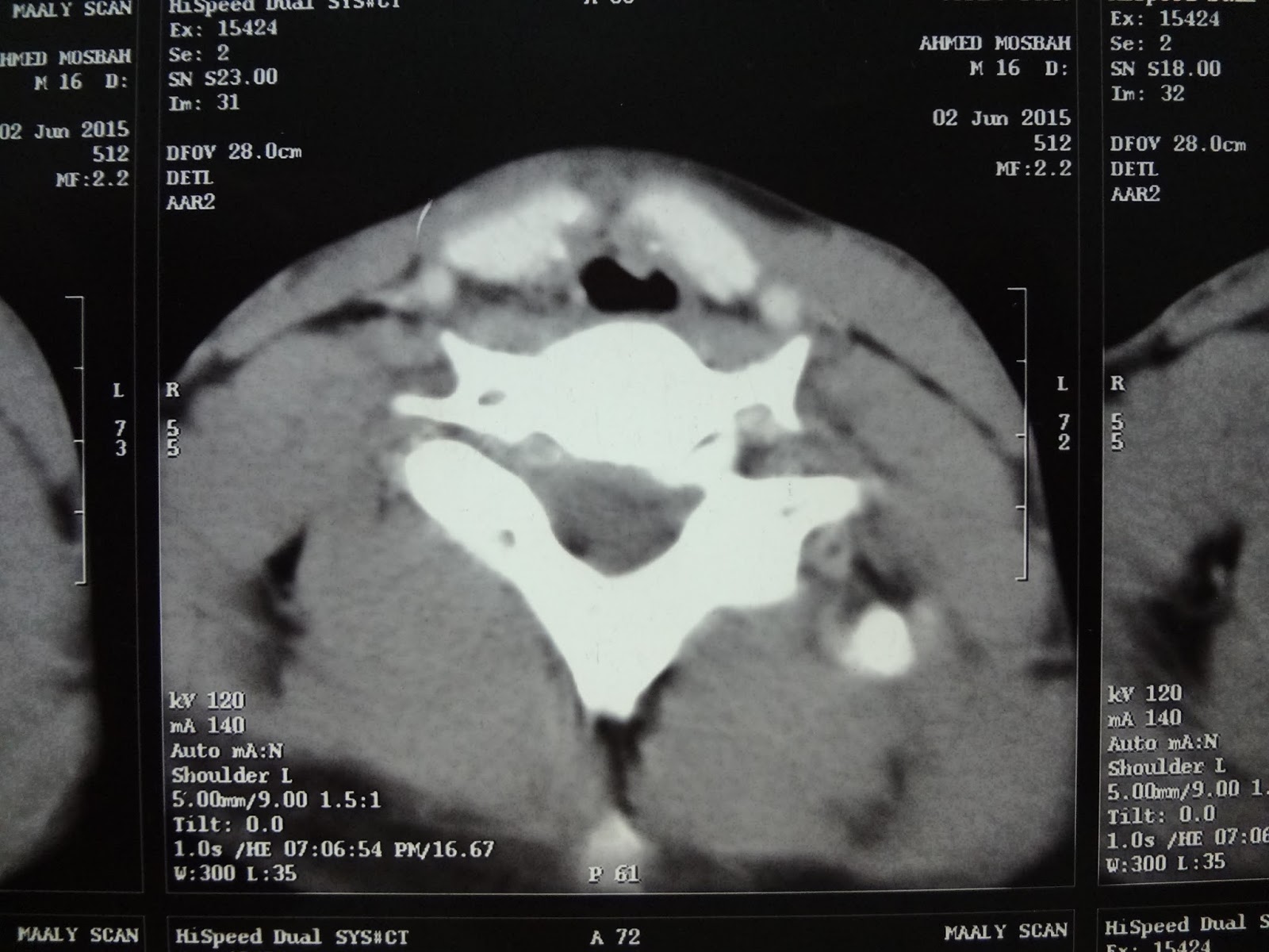
laryngeal tracheal stenosis grade IV . UPPER airway stenosis due to endotracheal intubation. prepared for cricotracheal resection and reanastomosis

Acase of subglottic and upper tracheal stenosis   
  Grade IV stenosis
Intubated for 18 day from 8 months
Tracheastomized
Voice q poor    aphonia
 Deglutition good

 prepared for cricotracheal resection
























تعليقات